예상치 못한 암 선고, 임신 초기 증상과 혼동
임신 초기 흔한 증상으로 여겨졌던 구토와 발한, 가려움이 사실은 희귀 혈액암의 전조였던 것으로 밝혀지면서 한 여성이 아기를 포기해야 했던 사연을 공유했다.

임신과 암, 두 가지 고통
영국 노스요크셔 미들즈브러에 사는 소피아 야신(29)은 2024년 6월 임신 사실을 알게 된 직후부터 심한 입덧, 야간 발한, 피부 가려움증에 시달렸다. 주변에서는 흔한 임신 초기 반응이라며 안심시켰고, 그 역시 임신 때문이라고 생각했다.

암 진단과 절망적인 현실
그러다 임신 14주 차 직장에서 쓰러져 병원으로 실려간 뒤 정밀검사에서 원발성 종격동 B세포 림프종(Primary Mediastinal B-cell Lymphoma, PMBCL)을 진단받았다. 종양은 심장 크기만큼 자라 있었고, 빠르게 진행되는 특성상 즉각적인 항암치료가 필요했다. 항암제를 투여할 경우 태아 생존은 불가능했다.

아기를 잃고 투병 생활 시작
소피아는 단 몇 시간 만에 선택을 내려야 했다. 결국 임신 15주 차에 유도분만을 통해 아기를 세상에 맞이했으나, 태아는 생존할 수 없는 시기에 태어나 곧 세상을 떠났다. 그는 아기에게 '카이나트 펄'이라는 이름을 붙이며 짧은 생애를 기렸다.

암과의 싸움, 희망을 향한 발걸음
이후 소피아는 6차례의 고강도 항암치료를 받은 끝에 2025년 1월 완전 관해판정을 받았다. 현재 그는 혈액암 환자 지원 단체인 '림프종 액션(Lymphoma Action)'을 돕기 위해 7km 기부 걷기에 나서며, "이 걸음 하나하나가 내 아이와 우리가 잃은 모든 이를 위한 것"이라고 전했다.

재발 위험과 미래에 대한 희망
의료진은 재발 위험이 상대적으로 높은 초기 2년 동안은 임신을 미룰 것을 권고했으나, 소피아는 언젠가 다시 건강한 임신과 출산을 희망하고 있다.

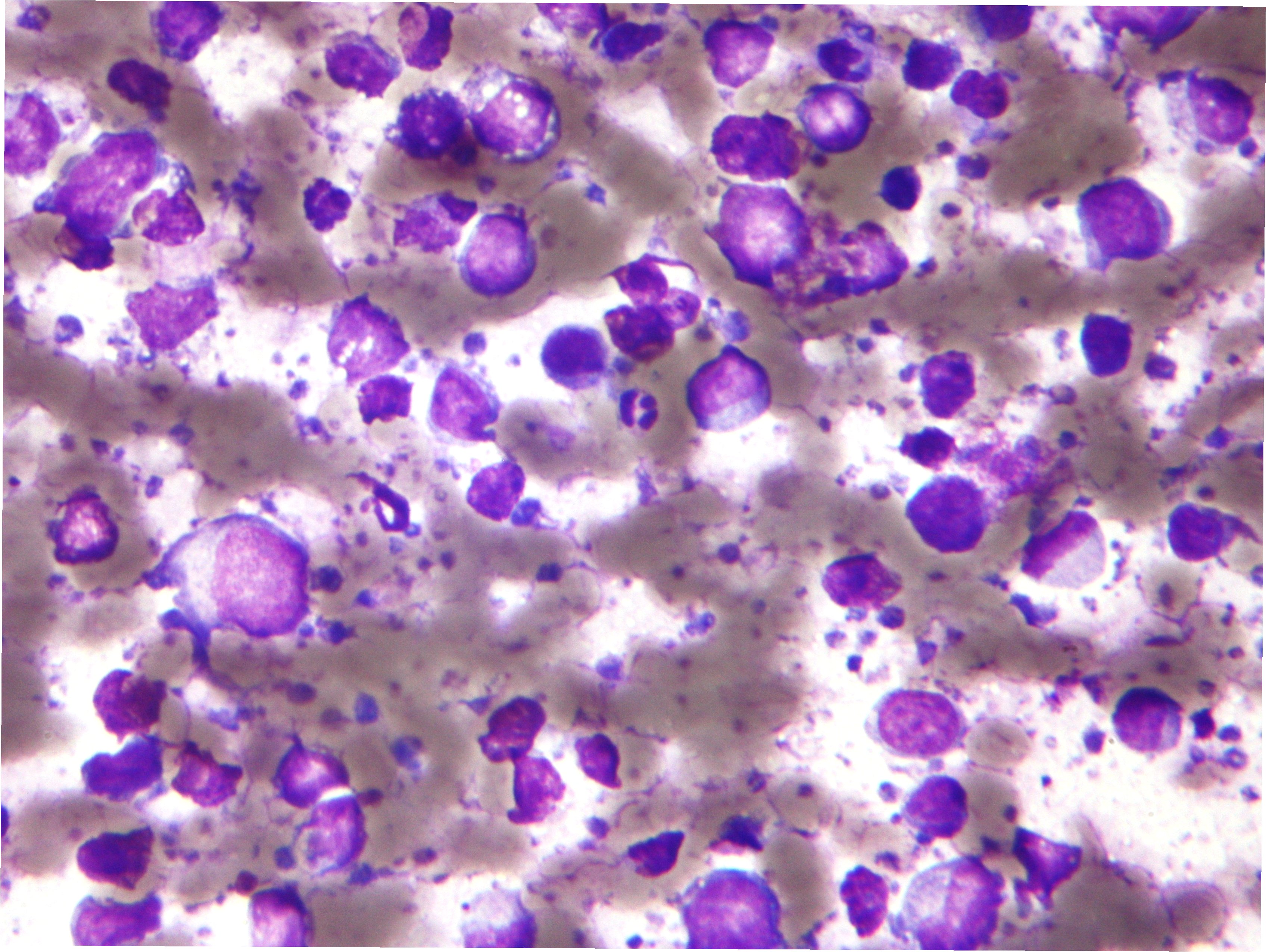
원발성 종격동 B세포 림프종(PMBCL)의 특징
소피아가 진단받은 원발성 종격동 B세포 림프종(PMBCL)은 비교적 드문 형태의 혈액암으로, 비호지킨 림프종의 아형에 속한다. 이 암은 면역세포인 B세포에서 발생하며 주로 가슴 중앙부에 위치한 종격동에서 발병한다.

PMBCL, 20~40대 여성에게서 상대적으로 발병 높아
전체 비호지킨 림프종 환자 중 약 24%를 차지하는 것으로 알려져 있으며, 특히 20~40대 젊은 여성에서 상대적으로 흔히 나타나는 특징이 있다.

오진 위험과 조기 진단의 중요성
문제는 이러한 증상들이 폐렴이나 기관지염 같은 호흡기 질환 혹은 임신과 같은 생리적 변화와 혼동될 수 있어 진단이 지연되는 경우가 적지 않다는 점이다.

임신 중 PMBCL, 어려운 선택의 기로
특히 임신 중에 이 질환이 발생하면 환자는 태아와 자신의 생명을 두고 극도로 어려운 선택에 직면하게 된다. 일부 항암제는 임신 2기 이후 제한적으로 사용될 수 있지만, 종양의 진행 속도가 빠른 경우 산모의 생명이 우선될 수밖에 없다.

핵심 요약: 임신 중 암 진단, 여성의 고통과 희망
임신 초기 증상으로 오인하기 쉬운 암, 여성의 고통스러운 투병과 아기를 잃은 사연, 그리고 희망을 잃지 않는 모습을 통해 건강의 중요성을 강조합니다.
자주 묻는 질문
Q.원발성 종격동 B세포 림프종(PMBCL)은 어떤 질병인가요?
A.PMBCL은 드문 형태의 혈액암으로, 주로 20~40대 여성에게서 발병하며, 가슴 중앙 부위인 종격동에서 발생합니다. 초기 증상이 임신과 유사하여 오진될 수 있습니다.
Q.임신 중 PMBCL 진단을 받으면 어떻게 되나요?
A.임신 중 PMBCL 진단을 받으면, 환자는 태아와 자신의 생존 사이에서 어려운 선택을 해야 합니다. 항암 치료가 필요하지만, 태아에게 위험할 수 있어 치료 시기가 중요합니다.
Q.PMBCL의 치료와 예후는 어떤가요?
A.PMBCL은 적절한 치료를 받으면 5년 생존율이 70~80%이지만, 재발 위험이 있어 장기간 추적 관찰이 필요합니다. 치료에는 산부인과, 종양내과, 소아청소년과의 다학제적 협진이 이루어집니다.
'이슈' 카테고리의 다른 글
| 김건희 씨의 절규: '정권과 서희건설의 음모' 그리고 특검의 칼날 (1) | 2025.08.21 |
|---|---|
| 해병대 수사 외압 의혹, 특검 수사 30일 연장… 진실 규명에 한 걸음 더 (0) | 2025.08.21 |
| 군복 아니라고? '로카티'의 대중화: 기능성, 디자인, 가성비 삼박자로 여름을 사로잡다 (1) | 2025.08.21 |
| 이재명 대통령, 북핵 폐기 위한 '적극적 남북 대화' 의지 밝혀… 한일 관계 개선 의지도 드러내 (0) | 2025.08.21 |
| 꿈에 부푼 공무원들, 가짜 봉급 인상 공문에 속다: 진실과 오해 (0) | 2025.08.21 |